FA | EN | AR |
if (Model != null) {

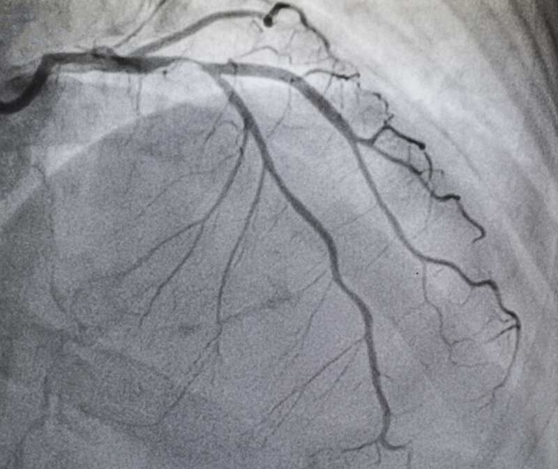
مقالات سی تی آنژیوگرافی

رگهایی كه به عضله قلب شما خون می­رسانند را عروق كرونر می­گویند. این رگها ممكن است توسط جسمی به نام پلاك .....

 

سی تی آنژیوگرافی میتواند اطلاعات جامع و كاربردی در زمینه آناتومی عروق، وجود ناهنجاری های مادرزادی عروقی و نحوه درگیری رگ مبتلا ...

 

عوامل خطرناكی كه موجب تنگی رگهای قلب می شود شامل ...

 

انسولین هورمونی است که ازغده ای واقع در پشت وزیرمعده (پانکراس) ترشح می شود.لورالمعده انسولین را در جریان خون ترشح می کند...

 

هایپرتنسیون یا فشارخون بالا یک وضعیت پزشکی است که در آن فشار وارد شونده بر دیواره رگ‌ها و فشار جریان خون از یک حد نرمال و پذیرفته...

 

اگر شما به بیماری چربی خون مبتلا هستید، میزان چربی در خون شما بیشترازحد طبیعی است. چربی ها معمولا به صورت تری گلیسرید و کلسترول در ...

 

مصرف سیگار از هر نوع كه باشد (سیگار، قلیان، پیپ) و به هر مقدار برای قلب مضر است. تأثیرات نامطلوب سیگار ...

 

افزایش وزن بدن براساس معیار شاخص جرم بدنو افزایش چاقی شكم سبب افزایش مقاومت بدن به انسولین خون و در نتیجه بروز...

 

توانایی تشخیص سی تی آنژیو با سایر روشهای تشخیص غیر تهاجمی در قلب و عروق...